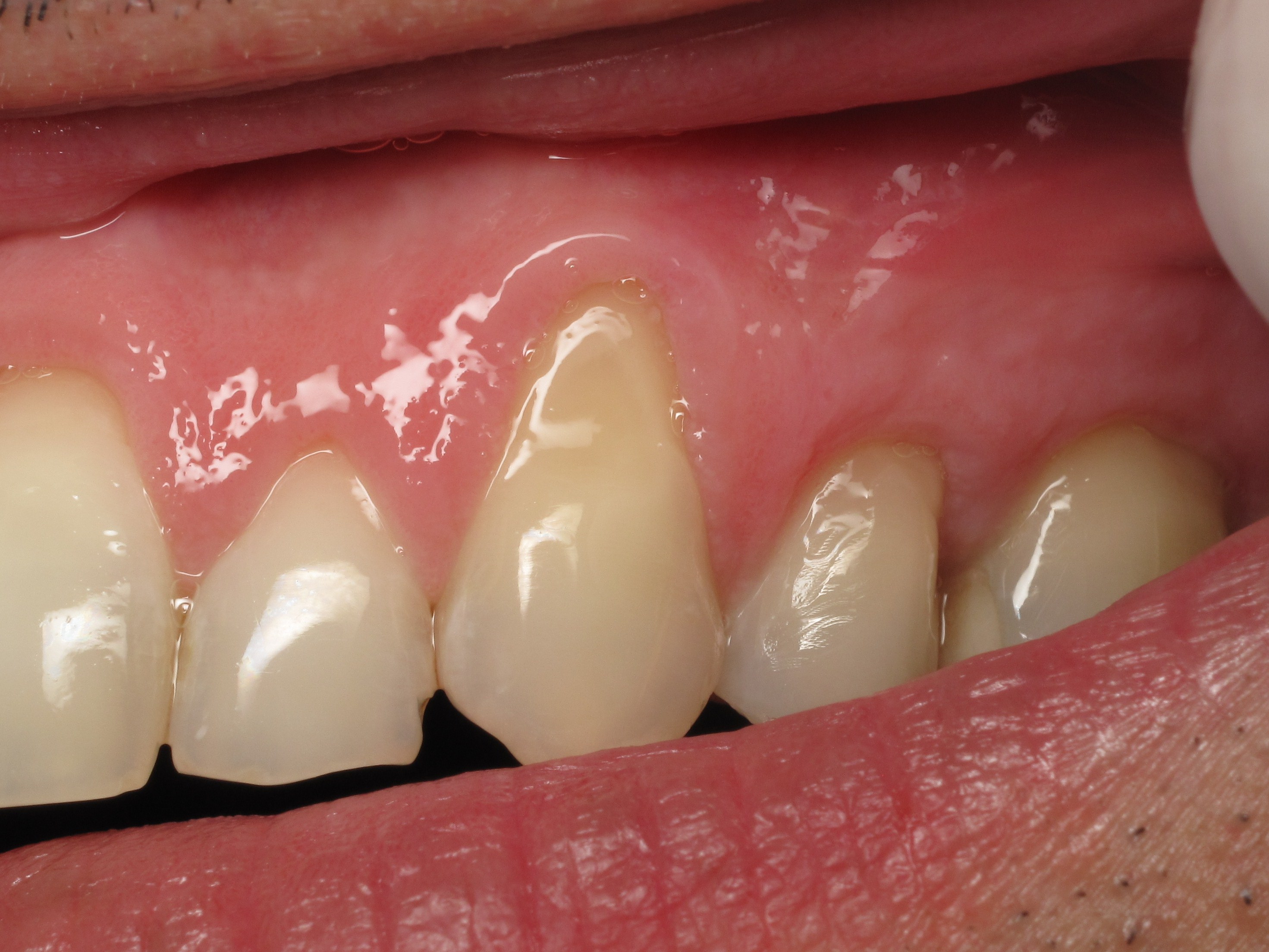
There are many different dental procedures you can have done in Costa Rica at fraction of the price it would cost you in the USA or Canada. Today we would like to present information on one of those procedures being offered in Costa Rica. Gingival recession is an apical shift of the gingival margin with exposure of the root or implant surface.
It is commonly found in patients with a high standard of oral hygiene as well as in periodontally untreated population with poor oral hygiene. Many factors have been proposed to influence the development of marginal tissue recession, including plaque-induced inflammation, toothbrush trauma, tooth alignment, orthodontics, and restorative procedures. The migration of the marginal tissue to an apical position may lead to esthetic concerns, dentin hypersensitivity, root caries, and cervical wear. To cover a recession over an implant it is necessary to have a bone graft with guided tissue, bone regeneration, and a gum graft to have a better result. This would not only yield the best cosmetic results, but would strengthen the implant by better bone contact.
Bone grafting is the replacement or augmentation of the bone around the teeth. Bone grafting is performed to reverse the bone loss / destruction caused by periodontal disease, trauma, or ill fitting removable dentures. It is also used to augment bone to permit implant placement, such as augmenting bone in the sinus area for implant placement, or augmenting bone to enhance the fit and comfort of removable prostheses, or to enhance esthetics of a missing tooth site in the smile zone. When one loses a tooth, as in an extraction, the surrounding bone collapses. To preserve this bone for future implant placement or for esthetics, a bone graft is used.
There are different types of bone grafts:
1. autogenous – bone taken from one area of the patient and transplanted to another area requiring such grafting
2. allograft – either synthetic bone or bone from a bone bank (cadaver bone)
3. xenograft – bovine /cow bone.
A gingival graft (also called gum graft or periodontal plastic surgery) is a generic name for any of a number of surgical periodontal procedures whose combined aim is to cover an area of exposed tooth root or a implant surface. The covering of exposed root or implant surfaces accomplishes a number of objectives: the prevention of further root or impant exposure, decreased or eliminated sensitivity (in root surfaces), decreased susceptibility to root caries and cosmetic improvement and in exposed implant surfaces to prevent periimplantitis. These procedures are usually performed by a dental specialist in the field of gingival tissue, known as a periodontist.
To have some success in covering the surface of implants it is necessary to do bone regeneration and to treat the implant surface with antibiotic to have a better result. While not a total regeneration is achieved, the gain is obtained is important not only for aesthetic purposes if not for the implant to have a better prognosis over time.
By Prisma Dental, Click To Get in Touch with One of Their Dental Professionals
