Health & Dental Tourism News – Due to continuous research by professionals involved in the field of dentistry, patients today have now more options to choose from when planning on getting their dental needs addressed. Among the numerous dental treatments that are available in the market, the two leading procedures for resolving broken, missing, misaligned and uneven teeth are porcelain veneers and dental crowns.
Now you may be wondering; under what circumstance does a dentist suggest that a patient have veneers and when do they recommend crowns?
Generally, the determining factors on whether a patient must have veneers or crowns are the condition of the teeth and what both the patient and dentist wish to accomplish. How so? Well, although porcelain veneers and dental crowns are both aesthetic and functional in nature, these two restorations are different and therefore have distinctive applications.
The most basic difference between crowns and veneers is the span of tooth they cover. Veneer is used to cover the front surface of the tooth or the side that shows when we smile, while a crown encapsulates an entire tooth. The two treatments also differ in such a way that the main purpose of having a crown is to make it the outer surface of the tooth because the tooth has been seriously damaged and needs more strength and protection, whereas porcelain veneers is the typical dental procedure used on teeth whose underlying tooth structure is still healthy and intact.
Let us talk about the other differences of dental crowns and porcelain veneers.
Dental crowns, which are either made of metal, porcelain, or a combination of the two, are fabricated in the shape of a full tooth. They are custom-made and are designed to match the color of a patient’s adjacent teeth or they can be made according to the patient’s special request. Take note that since it has to encase the natural tooth, the said tooth needs to be trimmed down and reduced in size of at least 2 millimeters so that the minimal space in the gums can accommodate the crown. The two most notable features of a crown are its strength and durability; because of these, crowns are used in situations where a tooth is exposed to heavy chewing, biting forces, tooth grinding and clenching. Know though that although crowns can achieve the aesthetic advantages of veneers, it should only be used when necessary as this treatment is irreversible, which means that once a crown has been placed on a tooth, that tooth would always need a crown.
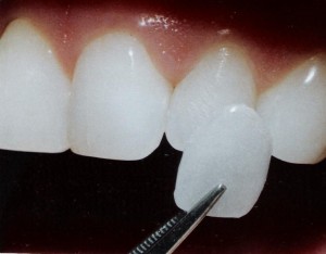
Porcelain veneers on the other hand are wafer-thin shells which usually measure 1 millimeter in thickness or less, and is made of porcelain that are secured to the front surface of the teeth with the help of a special bonding agent. Because veneers are so thin and are only applied on the front portion of the tooth that is exposed, it is considered to be the most conservative treatment option since no trimming is required on the backside and significantly less tooth grinding is required when it is applied on the front surface of the tooth. Furthermore, veneers are used on a patient who wants to improve the shape and color of his or her teeth or resolve issues related to crowding and excess spaces between each tooth. The disadvantage of veneers over crowns is that although veneers are strong they are also brittle so they are mostly used in situations where the forces applied to them are relatively light and passive.
Click Here to Get Your FREE Costa Rica Dental E-BOOK.
There is a lot of information to digest when it comes to preparing for your dental vacation to Costa Rica. Entry requirements to Costa Rica, how to find a dentist or dental clinic, what to expect for your specific procedure ( dental implants, porcelain veneers, crowns and bridges, full mouth restorations and much more) and so much more.
The Medical Tourism & Travel Guide Offers a Free E-Book to answer all your questions.
