Costa Rica Dental Tourism – Edentulous patients that are in need of replacing missing teeth areas in their mouth can opt for implant procedures. The patient can either go with replacing missing teeth with implants and restoring them with crowns or, if the patient has no remaining teeth at all, with custom prosthesis made to fit an initial placement of implants.
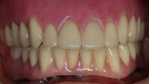
One of the options for a custom prosthesis is an Implant Supported Hybrid Denture, which consists of a two stage process where six implants are placed in the patient´s mandible or maxilla; or both depending on the person´s needs, to replace 14 upper and 14 lower teeth.
The amount of implants placed in this initial phase is determined by the condition of the bone, however, usually the Hybrid denture is recommended with six implants. There will be a waiting period of 6 to 8 months, where the patient will have a temporary denture, before the implants oseointegrate with the bone and an implant supported denture can be performed.
This implant supported prosthesis is known as a hybrid because it’s a combination of fixed implants with a screwed fixed denture. It includes a metallic bar with holes in the six implant spaces that the dentists will use to screw in the prosthesis.
The patient will not be able to remove it, only the dentist can every six months for cleaning. This gives the patient the comfort of not having to remove it every day for hygiene purposes and also the security that it will stay fixed to the implants without moving.
This fixed solution is the appeal for most patients that are not satisfied with having a regular removable denture.
Benefits of Implant Supported Bridge or Overdenture
- Maintains integrity of facial structure (prevents further bone deterioration)
- Increases comfort and stability
- Restores natural biting strength
- Improves health due to better eating habits and improved digestion
- Eliminates need for adhesives
- Improves appearance (lost lip support restored)
- Builds confidence in eating and speaking more clearly.
Whether your choice is to have a removable denture or an implant supported hybrid denture, the first step is to consult with your dentist about the condition of the bone in your mouth to see what the best possible option for your specific case is.
