Costa Rica News – Since the passing of Affordable Care Act or more commonly known as Obamacare in 2010 a lot of people are still confused with what the new law covers as parts of it are still being deliberated and being worked on.
What is for sure though is that with this law, each state has the power to devise its own list of health benefits that would cover ten basic health needs which are ambulatory patient services, emergency services, hospitalization, maternity and newborn care, mental health and substance use disorder services, including behavioral health treatment, prescription drugs, rehabilitative and rehabilitative services and devices, laboratory services, preventive and wellness services and chronic disease management and pediatric services including oral and vision care.
Did you notice that dental care is not mentioned? Dental coverage is not really handled or is very limited to all government health insurance plans. Dentistry was not a major player at the table when Obamacare was negotiated.
There are a few provisions seen as negative in the Affordable Care Act such as the 2.3 percent tax on medical devices instituted to help pay for Obamacare. It is not certain what would be included in the tax, but is has been proposed to include dental filling materials, instruments, and dental equipment.
So the new tax is trying to pay for dental care by placing a tax on dental care. At worse, it is estimated that the tax will increase the cost of dental care in America by $160 million per year. If you don’t have dental insurance, I doubt Obamacare will change that for you in the near future. The Affordable Care Act requires all Americans to have medical insurance, but not dental insurance.
The result of Obamacare which is already happening as it has been implemented.
More and more are looking outside the U.S. for treatment as Obamacare and government-dominated state health care exchanges like Washington’s take control of our health care weaken. The rapidly increasing costs and multitude of rules, regulations and limitations are driving Americans to look to other countries for treatment.
There is a large number of American patients heading abroad for surgeries and other medical and dental treatments. There’s been between a 20 percent and a 30 percent growth rate for this sort of travel in just the last five years. These numbers should continue to increase.
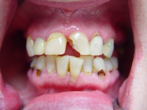
Even with perfect care of your teeth there is always going to be slow deterioration of your teeth. Friction, wear and tear, stress, and corrosion (or any combination of these actions) can cause erosion of the tooth surface and enamel.
All of these actions can cause the need for dental implants, dental veneers, or other dental procedures to help preserve your smile. Obamacare and other government insurance programs that getting these dental procedures done are not cosmetic and not required, therefore they are not covered.
I would love Barrack or Michelle to have the need for dental implants, denture implants, or a full mouth restoration and then tell the US population that going to the dentist is not mandatory and is just cosmetic. I would love for them to have to dig in their pockets for the $60,000 or more for a full mouth restoration in the USA that comes out of savings.
For these reasons more people and even private insurance companies are promoting dental work to be done abroad. It just makes sense for the costly dental procedures like implants or root canals. Dental vacations to countries like Costa Rica are becoming more and more popular as the prices continue to skyrocket in the USA.
Do you really want to take $25,000 to $60,000 out of your retirement savings on going to the dentist in the USA, or get the same work done by a USA trained dentist in Costa Rica or Mexico for 25% of that cost? I know what my answer would be.
There is a lot of information to digest when it comes to preparing for your dental vacation to Costa Rica. Entry requirements to Costa Rica, how to find a dentist or dental clinic, what to expect for your specific procedure and so much more.
The Medical Tourism & Travel Guide Offers a Free E-Book to answer all your questions as well as a FREE comparative quote from 2 of the top dental clinics in Costa Rica. The Costa Rica Dental Team (American Run and Operated Clinic) and Kaver Cosmetic Dentistry (The Clinic that treats Mrs. Costa Rica).
Click Here to Get Your FREE Costa Rica Dental E-BOOK.
