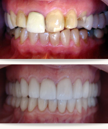
There are several reasons why a person needs a full mouth restoration. The procedure is performed when a person requires all of the upper and lower teeth to be rebuilt, either caused by trauma, fractured teeth, or disadjustments in the bite.
If a person is missing or has stained teeth, if the person is a grinder, if there is a bite disadjustment, or even if it is only for esthetic and cosmetic reasons, they can be candidates for a full mouth restoration.
There are several ways of restoring a person´s mouth:
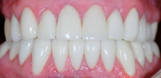
Crowns: completely caps or encircles a tooth. They are often needed when a large cavity threatens the ongoing health of a tooth. They are typically bonded to the tooth using a dental cement. There are several types, such as, base metal frame, pure porcelain, zirconium, high noble metal, etc.
Veneers: Porcelain Veneers are a cosmetic procedure made to reshape a chipped or broken tooth, for tooth discoloration, to extend the length of a tooth, to make teeth whiter, to reshape the line of your teeth or to give a beautiful new smile. Veneers cover the visible portion of the tooth or teeth and are usually performed on the upper and lower front 6 teeth.
Inlays: are used to replace mercury or amalgam fillings for a more esthetic appearance; when a cavity is too big, an inlay is used to prevent the tooth from getting fractured or breaking.
Implants: Dental implants have become a popular and successful option used by dental professionals for restoring missing, severely damaged or diseased teeth. They are usually made from titanium and resemble an actual tooth root. They can also improve or restore chewing and/or speech problems that can be caused or be related directly to missing teeth.
Four elements need to be evaluated prior to performing a full mouth restoration:
First is the condition of every tooth in the person´s mouth. With a full clinical exam the doctor will be able to determine what restorative procedures are adequate for the patient´s case, whether it will be crowns, veneers, bridges, and/or implants with crowns on top of them.
Secondly, the doctor will check for periodontal disease (unhealthy gums), to ensure that the teeth that will be reconstructed will have a solid base before proceeding any further. Often scaling and root planning will be performed
and in more severe cases bone and gum graft may be necessary.
Third, the esthetics part of the process is very important; color, shape, and size should be discussed with the patient and it is the doctor´s responsibility to help him/her in making the best decision as far as appearance (although ultimately the last call is made by the patient). It is a sort of counseling or guidance for the patient in what will esthetically result best on them.
Finally, an adequate bite is absolutely necessary to ensure the restoration will be successful and will last throughout time. Wearing down of teeth is very common due to grinding. Temporomandibular joints (TMJ), jaw muscles, and occlusion must be adjusted in the process of restoration. This way the doctor will have the guarantee that his work will be protected; a custom made mouth guard is made for the patient in most cases after the restoration has been completed
The extent of the work will be determined by the specialist after having performed the full clinical exam and treatments may require to be done in several phases, in cases taking up to 10 months for being completed.
A full mouth restoration will not only improve the appearance of a person´s mouth, it will make them healthier, will allow them to chew foods that they might have not been able to do so before, It can also help improve speech problems caused by missing teeth. It will give them back the confidence to smile whenever they want to without hiding, feeling ashamed, or restricting themselves, and give them the joy of having a healthy, beautiful looking smile.
By: Dr. Telma Rubinstein
