Costa Rica Medical Tourism – It is getting more and more popular to take the short flight from the USA to Costa Rica because the cost of dental procedures in Costa Rica is usually about 70% off the price of dental work in the USA. The most popular are veneers and dental implants, but almost all procedures are available with top end dentists in Costa Rica.
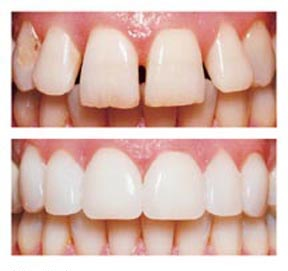
Have gaps between teeth? Chipped or worn down ones? If you have either of these conditions or even just discolored teeth you should consider porcelain veneers. Getting these is often the most conservative option when it comes to fixing color, size, shape or alignment in your smile. Porcelain veneers are normally only used in the front of your teeth. They don’t fully cover decayed teeth or act as implants, filling the entire space of a missing tooth.
Before this procedure you should have a consult with your dentist who will use a special software to create a computer image of how you will look with porcelain veneers. The color of your skin and hair as well as the shape of your face should all be considered in the design of your new smile. Note that teeth whitening should only be done before this procedure as the veneers should match the desired color of your teeth and cannot be changed later on.
On the day of the procedure you will be given a local anesthetic. Next a small part of the front of your teeth will removed to make space for the veneers. The dentist will take an impression to base the veneers on. The second visit is when you will actually get the veneers on. Between visits your teeth may feel rough and be sensitive to air and cold. Make sure to let the dentist know if you are unhappy with the functionality or look of your veneers. Once they are bonded with dental cement (on the third visit) they are difficult and expensive to remove.
How long the veneers last will depend on how you care for them. Brush and floss regularly, tell your dentist if you notice puffy gums, get a checkup four times a year, use non abrasive toothpastes, and avoid biting nails or opening things with your teeth. With proper care your porcelain veneers can last 10-20 years!
There are only 1 or 2 clinics that The Costa Rican Times recommends due to personal experiences there. One is Costa Rica Dental Team which is the only American run clinic in Costa Rica with the highest standards in service and modern facilities. Saving $2500 or more on dental procedures like dental implants with a short flight to paradise is becoming more and more popular.
For a Free Quote on Dental Care from the Costa Rica Dental Team, click here.
By Kerry La
