Costa Rica Dental Tourism – People are vain by nature. Me, you and everyone else always want to look our best in every way possible so it is not eyebrow-raising if we look for different treatments and undergo different operations to look pleasing to the eye.
Since beautiful teeth are especially looked at in a person, we pay special attention to it. The most common dental procedure people undergo to have their chipped, misaligned, discolored and worn-down teeth look dazzling is veneers.
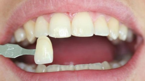
For those who are not familiar with the treatment, dental veneers also known as dental laminates are custom-made composite shells or porcelain that looks like tooth enamel bonded to the front surface of the teeth. Veneer is considered as the most conservative of all dental procedures since it only requires the filing of the front surface of a tooth and significantly less tooth grinding is required when it is applied on the front surface of the tooth.
This procedure usually required three trips to the dentist. The first visit of for consultation, the second is for filing the surface of the tooth where the veneer is to be bonded and placing of temporary veneers. The third visit to the dentist is for the removal of the temporary veneers and bonding of permanent ones.
During the first visit a diagnosis is made. This is the time when the doctor would check if you are a good candidate for having veneers. This is the best time for the patient to explain to the dentist what he or she really wants to accomplish.
The second visit is all about preparation. During this time, the dentist will be filing ½ millimeter of the patient’s tooth enamel; this procedure is painful but you do not have to worry since your dentist will be using local anesthesia to numb the area where the procedure will be made. The dentist will then make an impression of the tooth that will be sent to a laboratory, which will in turn fabricate the veneer.
On your last visit the permanent veneers will be bonded to the tooth. However, prior to the dentist permanently cementing the veneer to your tooth he or she will first check the fit and color of the said veneer by temporarily bonding it to the surface of your tooth which has been filed. The dentist may need to remove and trim the veneer a couple of times to achieve the right fit and adjust its color. Once the dentist is satisfied with the fit and color of the veneer, he or she will then prepare your tooth where the veneer will be bonded by cleaning, polishing and etching it to make sure that the surface of the tooth will be rough enough to allow a strong bonding process. Once the veneer has been cemented to the tooth, a special light beam is then used on it to activate the chemical in the cement used to bond the veneer to the tooth. The last step is to remove any excess cement and evaluating your bite so necessary adjustments will be done.
There are just a few things that you need to remember about veneers:
- Once you get veneers you will always be required to have veneers since this process is irreversible.
- Veneers cannot be repaired should they chip or crack so they need to be replaced.
- Since the tooth enamel was filed, you may feel more sensitivity to hot and cold food and beverages.
- Veneers should not be used on patients with overly decayed teeth or those who do not have enough amount of enamel on the tooth surface.
- Patients who grind and clench their teeth are not good candidates for veneers since these activities will only crack and chip the veneers.
Click Here to Get Your FREE Costa Rica Dental E-BOOK.
There is a lot of information to digest when it comes to preparing for your dental vacation to Costa Rica. Entry requirements to Costa Rica, how to find a dentist or dental clinic, what to expect for your specific procedure ( dental implants, porcelain veneers, crowns and bridges, full mouth restorations and much more) and so much more.
The Medical Tourism & Travel Guide Offers a Free E-Book to answer all your questions.
